
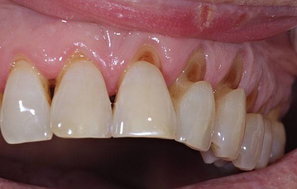
Many a times, you would have seen such notches in your teeth or in the mouth of some elderly person. Such notches create very unpleasant smile as food gets trapped in these notches and is seen while speaking or smiling.
These notches are called abrasion cavities. These cavities are not due to the germs but develop because of mechanical insult to the tooth. These are predominantly because of improper brushing style or using hard tooth brush. These cavities start as small notches which may or may not be accompanied with sensitivity.
It is good if there is sensitivity in the tooth because then you would seek professional help and the problem gets solved at an early stage. But if there is no accompanied symptom of pain or sensitivity, these notches become really deep reaching even the nerve inside the tooth. If that is the case, a root canal treatment will be required to treat the tooth.
The worst thing about such cavities is that they develop in multiple teeth at the same time. Sometimes, it involves almost all teeth. Getting such cavities filled with tooth coloured fillings is a preventive therapy you would want to give yourself or your loved ones to save on the treatment time as well as the associated cost.
That’s not all. You will surely need to correct your brushing habits.
Book an appointment to know more….